General Discussion

 View Only
  • 1.  Clinical Case 1

    Posted 03-14-2023 11:47
    Edited by Gabrielle Griffin 03-14-2023 11:56

    48-year-old female with a history of childhood ALL and cranial irradiation, presented with worsening memory and cognition

    Submitted by Michael A. Mooney, MD, Department of Neurosurgery, Brigham and Women's Hospital, Dana-Farber Cancer Institute, Harvard Medical School, mmooney6@bwh.harvard.edu

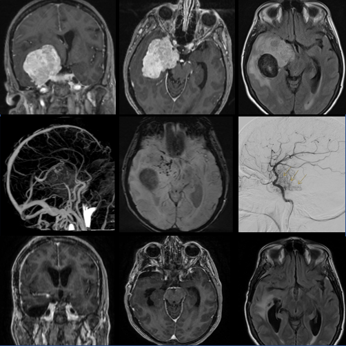
    The patient is a 48-year-old female with a history of childhood Acute Lymphoblastic Leukemia (ALL) treated with chemotherapy and whole brain irradiation nearly 40 years prior. Imaging of the head was performed after a fall and questionable seizure episode, demonstrating a large mass lesion. On additional questioning, she endorsed worsening cognitive difficulty, memory lapses, and personality changes over the course of several years. On physical exam, she was conversant but tangential in her speech.

    Imaging performed demonstrated a large, avidly-enhancing lesion centered along the right tentorium and cavernous sinus (A,B). FLAIR-imaging demonstrated associated vasogenic edema extending posteriorly in the temporal lobe (C). 3-D reconstructed CT angiography demonstrates the displacement of the right middle cerebral vessels (arrow), and susceptibility-weighted imaging demonstrates the internal vascularity of the tumor and a calcified component posteriorly (E, asterisk). Formal angiography demonstrates the tumor blood supply from the tentorium (F, arrows).

    A right cranio-orbito-zygomatic approach was performed to resect the lesion. The patient had diplopia in the early postoperative period that resolved  by 4-month follow-up. Pathology returned as W.H.O. Grade 2 Meningioma with an elevated MIB-1 index (17.9%). Focal islands of erythroid-dominant hematopoietic elements were scattered throughout, consistent with extramedullary hematopoiesis. Copy number analysis identified broad losses of 1p and 6q, as well as focal losses of 7p and 22q, including single copy loss of NF2, consistent with a molecularly integrated grade 2 diagnosis (Driver et al., Neuro-Oncology, 2022).

    This case highlights the unique histopathology and cytogenetic features of a radiation-induced meningioma associated with childhood cranial irradiation for ALL. Radiation-induced meningiomas are a well-known late complication of childhood radiation (Al-Mefty, J. Neurosurg, 1990) with a unique genetic landscape (Agnihotri, Nat Commun, 2017) and relatively aggressive natural history compared to sporadic meningiomas. This lesion demonstrated concerning radiographic and histopathological features and will need to be followed indefinitely for recurrence. 


    ------------------------------
    Gabrielle Griffin
    Society for Neuro-Oncology
    Houston TX
    ------------------------------